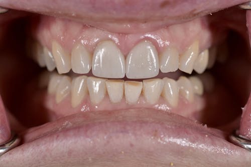
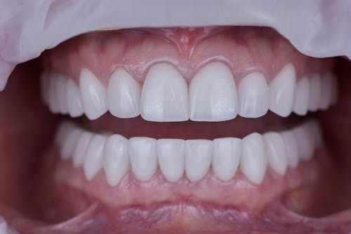
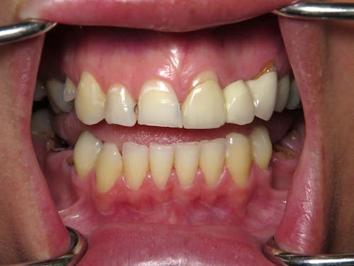
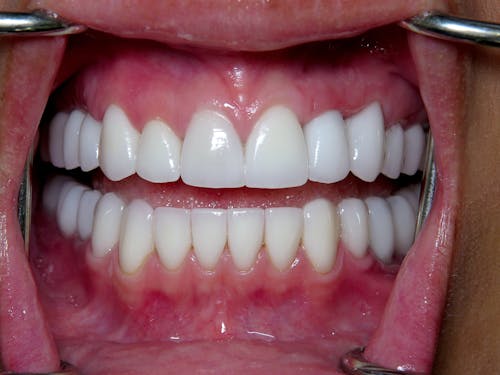
Dr. Arthur Glosman has spent more than two decades performing advanced full-mouth reconstructions for patients in Beverly Hills and around the world. Over the course of his career, he has designed and placed more than 30,000 porcelain veneers and crowns and completed hundreds of complex smile rehabilitations, restoring both the function and aesthetics of the entire mouth.
Your Next Big Move: Upgrade Your Life With a New Smile
Imagine in two week’s time having a romantic dinner seated across from your partner, maybe a new lover, with an entirely new smile; your teeth glint in the evening candlelight of a sidewalk cafe as you laugh and cajole, unbridled by the self-consciousness or discomfort of your old teeth.
Perhaps you are looking to step up in your career, pursuing a promotion or the sale of a lifetime. You want to be meeting important people: celebrities, royalty, and CEOs with the perfect charismatic grin of a well-cared-for professional smile. Your destiny awaits: you don’t want to wait or choose second-best—this is your next big move.












